This product is a ready-to-use PCR solution that comes pre-mixed with optimized concentrations of Taq DNA polymerase, dNTPs, Mg2+, reaction buffer, stabilizers, and PCR enhancers at a 2x concentration. It offers superior fidelity and amplification efficiency compared to standard PCR methods. Its key advantages include ease of use, high sensitivity, strong specificity, and excellent stability, all of which contribute to reducing potential human errors. The PCR product features a protruding “A” base at the 3′ end, facilitating direct cloning into T vectors after purification. Additionally, the solution contains a red dye, allowing for direct gel loading post-PCR without the need for an additional loading buffer. It can also undergo purification for subsequent procedures such as restriction enzyme digestion, ligation, or fluorescent sequencing.
Performance

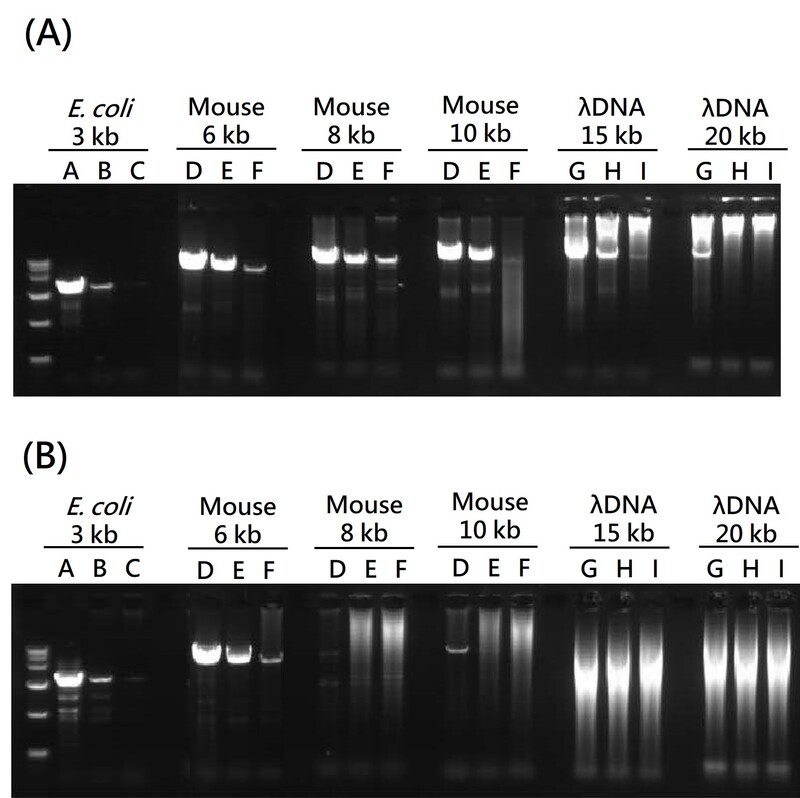
Amplification of Various Template Lengths using MB204-P040 with Different Template Sources and Concentrations (A) MB204-P040 (B) Competitor

Amplification Using MB204-P040 on Templates from Different Sources (A) MB204-P040 (B) Competitor
Kit Content(s)
AmpLong 2X PCR SuperMix: 1 ml x 1 vial
Reaction Setup
| 1. For each 50 μl reaction, assemble the following components in a 0.2 ml PCR tube on ice just prior to use: | ||
| Component | Volume | Final Conc. |
| Forward primer, 10 μM ** | 2 μl | 0.4 μM |
| Reverse primer, 10 μM ** | 2 μl | 0.4 μM |
| 2×PCR SuperMix | 25 μl | 25 μl |
| DNA template* | X μl | |
| PCR Grade Water | add to 50μl | - |
| Total volume: 50 μl | ||
| 2. Mix gently. If necessary, centrifuge briefly. Cap tubes and place in thermal cycler. | ||
| 3. Process in thermal cycler for 25-35 cycles as follows: | ||
| Initial Denaturation | 3 mins at 95°C* | |
| Denaturation | 15 secs at 95°C** | 25-35 cycles |
| Annealing | 15 secs at 50-65°C | |
| Extension | 30 sec/kb at 72°C | |
| Final extension | 5-10 mins at 72°C | |



Reviews
There are no reviews yet.